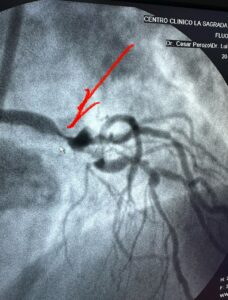
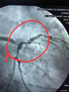
Álvaro Yépez, de 67 años, enfrenta una situación crítica de salud, tras ser diagnosticado con síndrome coronario crónico (SCC), con una lesión ateromatosa oclusiva crítica del 99 % en el tercio distal del tronco de la coronaria izquierda.
Por esta razón requiere una cirugía de corazón abierto lo antes posible, ya que su vida corre un riesgo inminente si la arteria se cierra completamente.
Según informó al Diario La Verdad su hija, Alvemary Yépez, el padecimiento se ha prolongado durante un año, causando dolor intenso en el pecho y falta de aire para respirar, afectando gravemente su vida diaria y su capacidad para realizar actividades cotidianas.
Además, Álvaro tiene familiares que dependen de él, lo que hace aún más urgente la intervención.
El costo de la cirugía está estimado en 18 000 dólares, de los cuales aún se necesitan 10 000 dólares para completar el monto requerido y poder hacer el procedimiento.
Las personas que deseen colaborar pueden hacerlo mediante las siguientes vías:
- Cuenta en bolívares
Pago Móvil:
Banco: Provincial
Cédula: E-81.951.412
Teléfono: 0412-5466814.
- Donaciones en línea:
https://gofund.me/abd09f086
La familia Yépez agradece cualquier apoyo económico o difusión de este llamado, con la esperanza de que Álvaro pueda recibir a tiempo la cirugía que le permitirá salvar su vida. Para mayor información sobre el caso, pueden contactar al 0412-5466814.

¿Deseas recibir esta y otras noticias en tu celular? Únete a nuestro grupo de Telegram https://t.me/diariolaverdad y WhatsApp https://chat.whatsapp.com/FjkHAVBJtbNJnJm5DMs4Yh. Además, sigue nuestro perfil en Instagram @diariolaverdad y en Facebook y Twitter @laverdadweb.