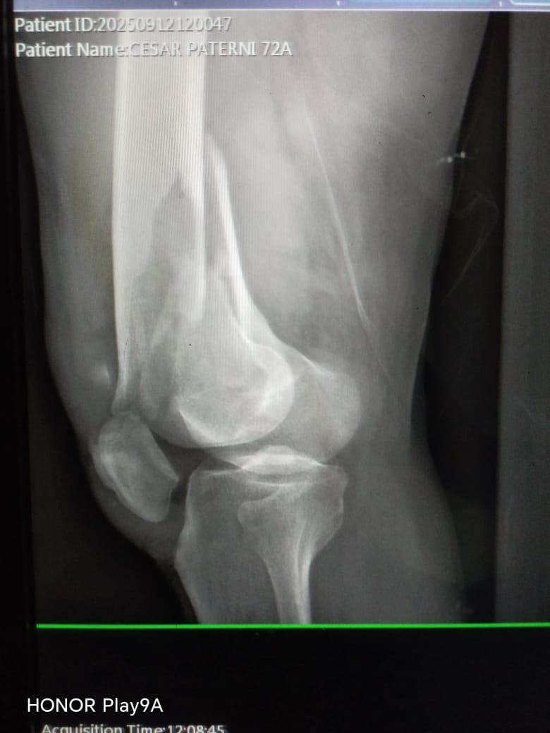
César Paternina, de 74 años, sufrió una caída el pasado 12 de septiembre que le ocasionó una fractura en el fémur, es decir, una rotura en el hueso del muslo, considerado el más largo y resistente del cuerpo humano.
Apodado “El Chichero” por sus más de 34 años vendiendo chicha con dignidad y constancia, Paternina es una figura muy querida en el barrio 18 de Octubre, donde reside.
Una fuente declaró este martes 30 de septiembre al Diario La Verdad que “El Chichero” es reconocido como “una eminencia” en la comunidad, y que vecinos y allegados esperan su pronta recuperación, ya que el proceso médico requiere una operación.
Su familia se encuentra recaudando fondos y recibiendo donaciones para cubrir los insumos, exámenes y gastos quirúrgicos, pues no cuentan con los recursos económicos necesarios para afrontar el tratamiento completo.
“Necesitamos de tu ayuda para poder operarlo, si deseas colaborar estaríamos agradecidos con el granito de arena”, es el mensaje que difunden sus parientes en redes sociales.
Quien desee colaborar con el señor César, puede hacerlo a través de las siguientes cuentas bancarias:
- Cuentas en bolívares
Pago móvil:
Banco: Banco Mercantil
Cédula de identidad: 22.062.601
Número telefónico: +58 0424-684-1178
Quienes deseen más información sobre el caso del señor César pueden comunicarse con él a través del número de teléfono +58 0424-684-1178 vía WhatsApp o por llamada telefónica.
¿Deseas recibir esta y otras noticias en tu celular? Únete a nuestro grupo de Telegram https://t.me/diariolaverdad y WhatsApp https://bit.ly/3kaCQXh, Además, sigue nuestro perfil en Instagram @diariolaverdad y en Facebook y Twitter @laverdadweb




